365베스트치과의원

고난이도 치아 살리기 케이스별 사례
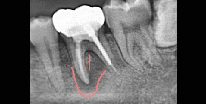
  • 심한 치수염으로 타원에서 뿌리뼈 소실로 발치평가 받은 환자 본원에서 치료 후 2개월(깨끗하게 골회복)
  • 타원신경치료 실패 후 발치평가 받은 환자 치근단 절제술로 발치하지 않고 부러진 기구 제거 및 치아 보존
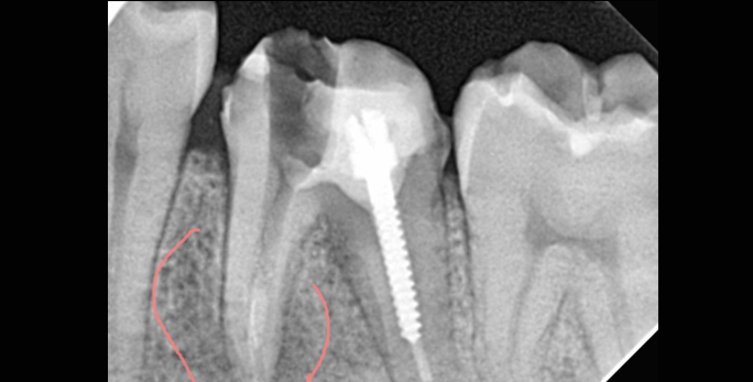
  • 신경치료한 뿌리 끝에 염증이 크게 번져있는 상태 치료 후 염증 및 통증 소실
  • 365베스트치과의원[부평청천본점]
  • 사업자등록번호 : 741-90-01663
  • 대표자 : 김지웅
  • 주소 : 인천 부평구 마장로 388, 2층, 3층(청천동)
  • Tel. 032-228-7528
  • Fax. 032-229-7528
Copyright 2023 by 365베스트치과의원. All rights reserved.
온라인 상담 상담 남겨주시면 온라인으로 답변드립니다
  • 개인정보수집동의
X