365베스트치과의원

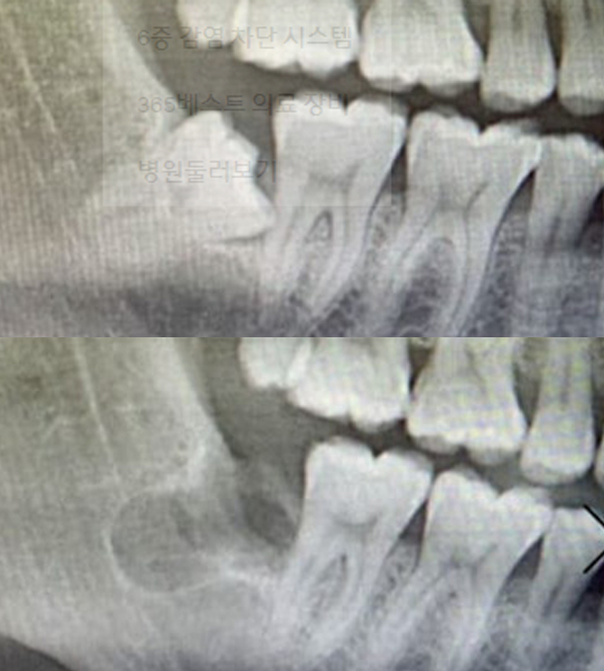
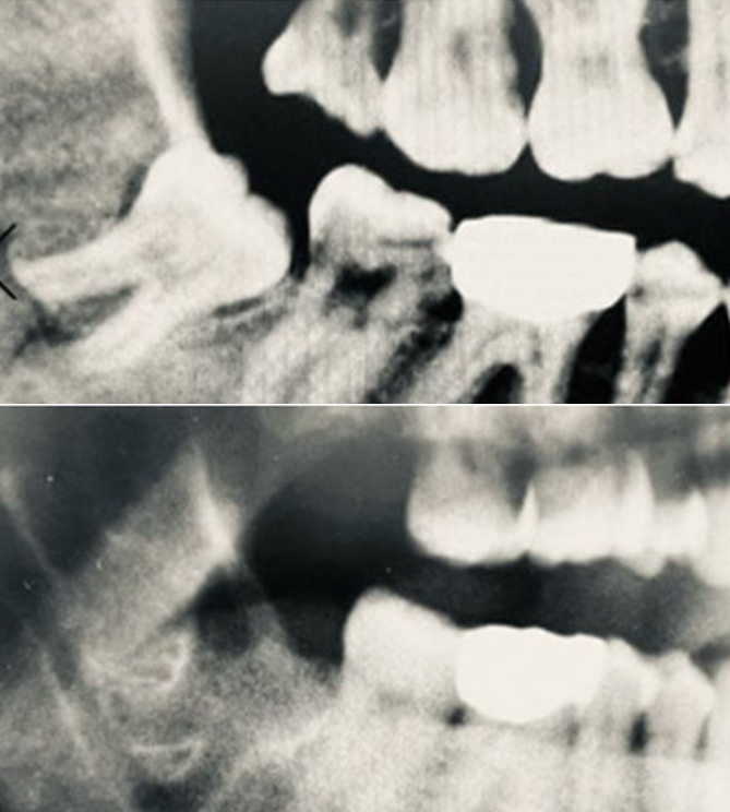
전후사진

  • 365베스트치과의원[부평청천본점]
  • 사업자등록번호 : 741-90-01663
  • 대표자 : 김지웅
  • 주소 : 인천 부평구 마장로 388, 2층, 3층(청천동)
  • Tel. 032-228-7528
  • Fax. 032-229-7528
Copyright 2023 by 365베스트치과의원. All rights reserved.
온라인 상담 상담 남겨주시면 온라인으로 답변드립니다
  • 개인정보수집동의
X